前歯の変色と歯並びの後戻りに対し、セラミック治療で審美性と機能性を改善した症例
公開:2026/04/21
秋葉原の歯医者、オーラルデザインクリニック秋葉原 歯科&矯正歯科の歯科医師、岩木です。
今回は、前歯の変色と歯並びの後戻りに対し、セラミック治療で審美性と機能性を改善した症例をご紹介します。
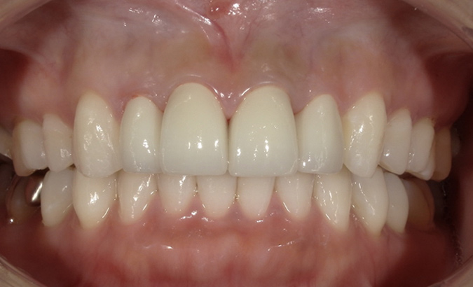
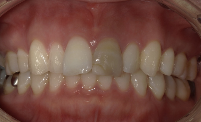
before
after
- 通院期間
- 1ヶ月半
- 通院回数
- 6回
- 治療内容
-
根管治療:66,000円
仮歯:5,500円×4
オフィスホワイトニング:38,500円
ジルコニアセラミック:165,000円×4 - メリット
- 理想的な歯並び、歯の形、歯の色にすることができる
- デメリット
- 保険治療と比較して費用がやや高額
※料金は掲載時(2026年03月)の金額になり、予告なく変更になる場合があります。
目次
患者様が気になっていたこと
「左上の前歯が神経を取ってから黒くなってしまい、見た目が気になる」とご相談いただいた患者様です。
あわせて、以前受けたマウスピース矯正後の後戻りも気になっており、前歯の見た目をきれいに整えたいというご希望がありました。
ご相談いただくまでのご経過
患者様は10年以上前にインビザラインで矯正治療を受けていましたが、治療後にリテーナーを使用していなかったため、少しずつ歯並びが後戻りしてしまったとのことでした。
また、左上の前歯は過去に神経の治療を受けており、その影響で歯の色が暗く変化していました。
時間の経過とともに見た目が気になるようになり、今回ご相談にお越しくださいました。
治療前のお口の状態
実際にお口の中を確認すると、左上の前歯にははっきりとした変色が見られ、過去のレジン治療の見た目も気になる状態でした。
さらに、前歯がやや前に傾いていたため、口を閉じたときに下唇に引っかかりやすく、見た目だけでなく口元のなじみという点でも改善の余地がありました。
レントゲンで確認した内容
レントゲンで確認したところ、左上の前歯には根の先の病変や腫れの原因となる所見は見られず、歯を支えている骨の状態も安定していました。
過去に矯正治療を受けていた歯列ではありましたが、歯の保存状態には大きな問題はなく、見た目の改善を目指した補綴治療を進めていける状態であると判断しました。
治療前に行った確認と診断
今回のケースでは、歯並びの後戻りに対して再度矯正治療を行う方法も考えられました。
ただ、患者様が特に気にされていたのは前歯の変色であり、あわせて前歯の傾きや口元とのバランスも整えたいというご希望がありました。
そのため、今回は前歯の色と形の両方を改善できる補綴治療が適していると判断しました。
治療についてのご説明
患者様には、変色した歯を白くきれいに見せるだけでなく、前歯の傾きについてもセラミック治療である程度整えられることをご説明しました。
一方で、よりバランスよく仕上げるためには右上の前歯に神経の治療が必要になることも丁寧にお伝えしました。
見た目の改善だけでなく、治療の流れや注意点についてもご理解いただいたうえで、治療を進めることとなりました。
今回ご提案した治療
患者様のご希望もふまえ、上の前歯4本をセラミックで整える治療をご提案しました。
さらに、最終的な仕上がりをより自然で明るい印象にするため、オフィスホワイトニングも併用する方針としました。
前歯は見た目の印象を大きく左右するため、1本だけを整えるのではなく、全体の調和を見ながら治療を進める計画としました。
治療の流れ
まずは右上の前歯に必要な神経の治療を行い、その後、上の前歯4本に仮歯を入れました。
仮歯の状態で形や長さ、口元とのバランスを確認しながら細かく調整を行い、より自然な見た目になるよう整えていきました。
あわせてオフィスホワイトニングも行い、周囲の歯の明るさを整えたうえで、最終的なジルコニアセラミックを作製しました。完成したセラミックはいったん仮着して経過を見たあと、色や形に問題がないことを確認して最終的に装着しました。
治療後のご様子
治療後は、患者様が気にされていた左上前歯の黒ずみが改善し、前歯の傾きによる見た目の違和感も自然に整いました。
ホワイトニングを併用したことで、セラミックの色もより明るくきれいに合わせることができ、口元全体がすっきりとした印象になりました。患者様にも仕上がりを大変喜んでいただくことができました。
この症例について
前歯の治療では、歯の色だけでなく、形や並び方、唇とのバランスまで含めて考えることが大切です。
今回は、変色した歯を白くするだけでなく、歯並びの後戻りによって生じていた見た目の違和感もあわせて改善することができました。
なお、ホワイトニングの際には一時的にしみる症状が出たため、予定していた照射時間を短縮しましたが、症状は軽くすぐに落ち着きました。
結果として色の変化にはご満足いただけましたが、今後同じようなケースでは、より負担の少ないホームホワイトニングも選択肢のひとつになると考えています。
前歯の変色や見た目でお悩みの方は、状態に合わせて治療方法をご提案できますので、ぜひ一度ご相談ください。





