秋葉原の歯医者
【オーラルデザインクリニック秋葉原 歯科&矯正歯科】秋葉原駅1分
現在LINEに不具合が起きております。クリニックにお問い合わせがある場合は、メールフォームもしくはお電話でお問い合わせください。
無痛治療・短期集中治療に特化
高度な治療を行う自由診療専門歯科医院
オーラルデザインクリニック秋葉原について
秋葉原駅徒歩1分の歯医者
オーラルデザインクリニック秋葉原は
【痛くない、患者様に優しい】歯科医院です
秋葉原の歯医者、オーラルデザインクリニック秋葉原 歯科&矯正歯科は、【痛くない、患者様に優しい】をコンセプトに、秋葉原駅徒歩1分の場所で診療を行っています。
近年では残存歯の数が寿命に影響しているという研究結果が発表されるほど、歯は人間にとって、とても大切なものです。
その歯をできるだけ残せるよう、精密で負担の少ない治療を行っています。
歯医者の苦手な患者様にも安心して治療をお受けいただけるよう、短期集中治療や静脈内鎮静法による無痛治療も行っております。
歯がボロボロになってしまってお悩みの方も、お気軽にご相談ください。
歯科恐怖症や、嘔吐反射が強く、歯医者に行けないとお悩みだった方にも「心配して悩んでいたことが嘘みたいだ」「痛くない、怖くない歯医者は初めて」と笑顔で通院して頂けています。
歯医者が怖くて不安という方へ
歯科恐怖症、痛みに弱い、嘔吐反射がある等、どうしても歯医者に行けない方はたくさんいらっしゃいます。
歯医者に行くくらいなら、痛みを我慢しようとして、いつの間にか虫歯で歯がボロボロになってしまっている方も少なくありません。
秋葉原の歯医者、オーラルデザインクリニック秋葉原 歯科&矯正歯科で行っている「無痛治療」なら、痛みや恐怖、治療中の音や匂いを感じない歯科治療を受けることができます。
また、当院の「短期集中歯科治療」では、1回の治療時間を長く確保し、複数の治療を同時進行で進め、麻酔の回数や、型採りの回数を最小限にして、効率よく治療を行うことができるため、通院回数が少なくできるのはもちろん、トータルの通院期間も大幅に短縮可能です
歯医者が怖くて不安という方は当院の短期集中治療と無痛治療で不安を取り除くことができます。
無痛治療
短期集中治療
当院の6つの特徴
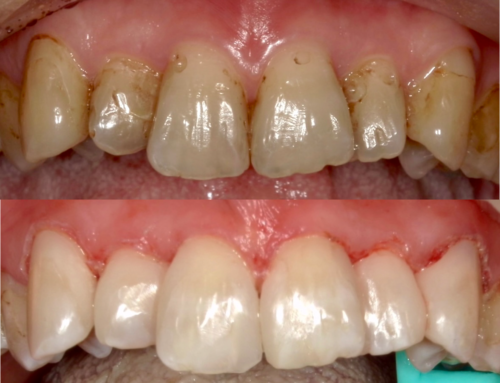
歯がボロボロでも行ける歯医者
歯医者が怖くて通えない、痛いのが嫌だ、歯がボロボロで恥ずかしいと、歯医者に行けない方のために、当院では静脈内鎮静法(点滴麻酔)を用いた無痛治療と、短期集中治療を行っています。
通院回数を少なく、痛みなく、ボロボロの歯を一気に治すことができます。
精密で再発をさせない治療
肉眼の20倍まで拡大できるマイクロスコープや、菌の侵入を防ぐラバーダム等を使用し、正確な診断・精密で再発の少ない治療を行っています。
こだわった治療を行い、歯の寿命を延ばしたいとお考えの方は、お気軽にご相談ください。
ハイクオリティな人工歯
セラミックのかぶせ物、つめ物は、歯科技工士と呼ばれる専門家が、歯科技工所で作成します。
秋葉原の歯医者、オーラルデザインクリニック秋葉原 歯科&矯正歯科では、その「歯科技工所」をグループ内に併設することで、審美性にこだわり、クオリティを極限まで追求しています。
駅チカで通いやすい歯科医院
秋葉原の歯医者、オーラルデザインクリニック秋葉原 歯科&矯正歯科は、秋葉原から徒歩一分に位置し、末広町駅からもアクセスしやすい歯医者です。
平日だけでなく土曜日も開院しており、患者様が通いやすい環境を整えております。(木曜・日曜・祝日は休診日です。)
また、当院は、神田・御徒町・上野・大井町・浅草橋・末広町・錦糸町からもアクセスが良い立地となります。
充実した院内環境
患者様の歯を削る量を少なく、虫歯や根管治療を再発させないよう、より精密な診療・診断を行うために、院内ではCTを始め、マイクロスコープ、iTeroなどの最新機器を導入しております。
また、静脈内鎮静法を安全に行うために、BISモニターや医科用生体管理モニター等も完備しております。
感染予防にも力を入れており、一部の治療機器に関しては常に使い捨て(ディスポーザブル)にしており、使い捨て出来ない機器に関しても一つ一つ滅菌処理を行っております。
コミュニケーションを大切にする診療
秋葉原の歯医者、オーラルデザインクリニック秋葉原 歯科&矯正歯科では、単に痛みを取る、気になる箇所を治すという治療を目指しているわけではありません。
患者様が歯を治したい理由は様々です。
患者様のご希望をしっかりお聞きし、歯科診療を通して、患者様の未来を明るくすることこそが、治療のあり方だと考えております。
そのため、カウンセリングを重視し、スタッフによる丁寧な説明と、将来的な予防治療を含め、患者様一人ひとりに合わせた治療内容の提案に努めております。
当院の診療一覧
-
無痛親知らず抜歯
寝ている間に
親知らず4本同時抜歯 -
審美歯科治療(セラミック)
銀歯を白い歯に
歯の色・形を変える -
セラミック矯正
最短2回で
歯の並び、歯の色、
歯の形を変える -
矯正歯科
表側、裏側の
ワイヤー矯正で歯並びを整える -
マウスピース矯正
透明なマウスピースで
歯並びを整える -
精密根管治療
マイクロスコープで行う
歯の根の治療 -
インプラント
骨移植が必要な
難症例も対応可能 -
歯周病治療
歯周病菌による
歯のぐらつき、出血の治療 -
クリーニング
日常生活で付着した
歯の黄ばみの除去 -
レーザーホワイトニング
1回30分で終わる
オフィスホワイトニング -
ホームホワイトニング
ご自宅で行う
マウスピースによる
ホワイトニング
秋葉原の歯医者、オーラルデザインクリニック秋葉原 歯科&矯正歯科の歯科医師紹介
歯科治療に役立つコラム
秋葉原の歯医者、オーラルデザインクリニック秋葉原 歯科&矯正歯科のホームページでは、歯科治療に関する情報を、定期的に発信しています。皆様にとって便利で役立つ情報発信を心がけ、健康な日常をサポートさせていただきたいと思います。



