寝ている間に終わる歯の変色治療(ダイレクトボンディング)
公開:2026/04/28 |更新:2026/04/21
秋葉原の歯医者、オーラルデザインクリニック秋葉原 歯科&矯正歯科の歯科医師、小浜です。
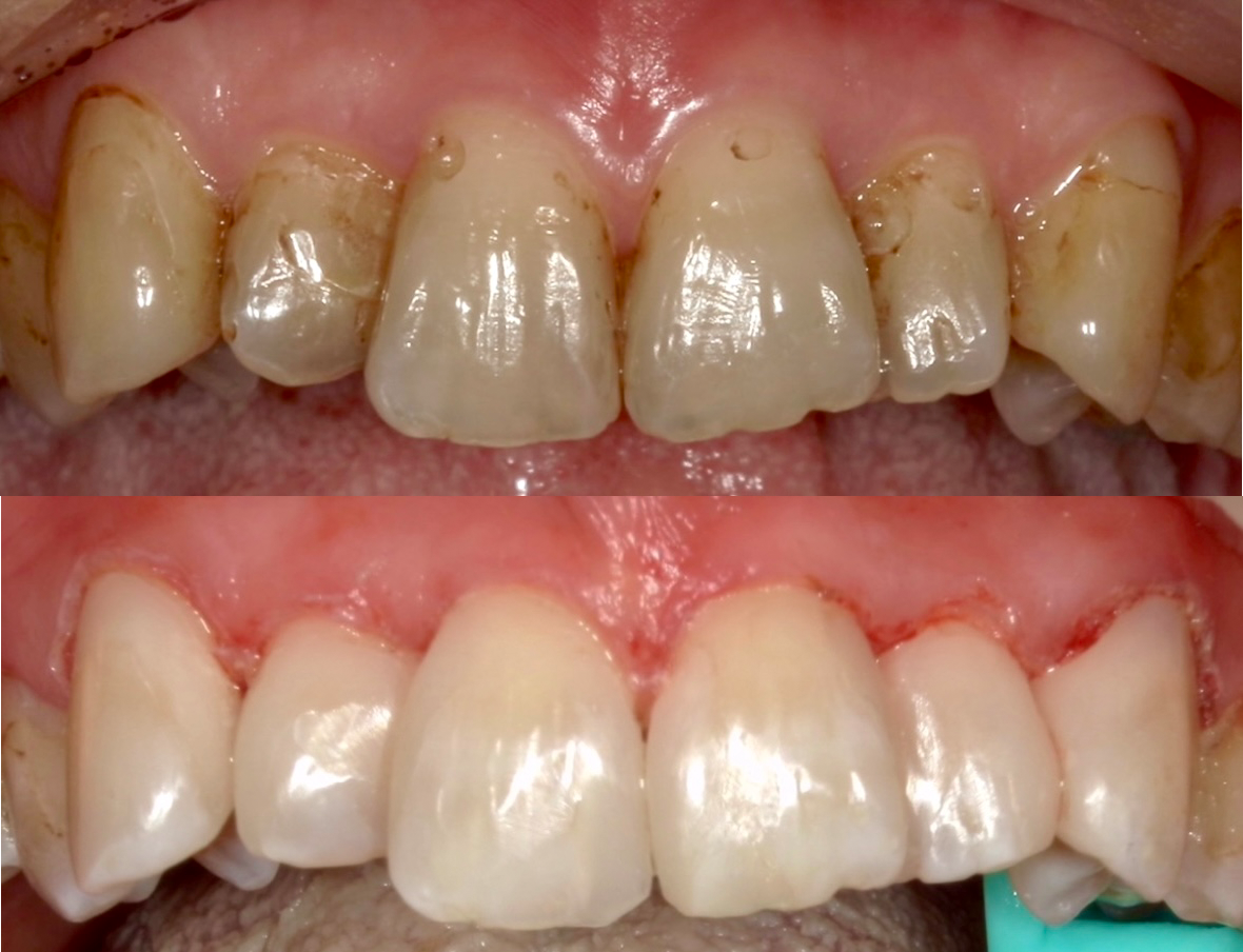
今回は、前歯の変色に対し、ダイレクトボンディングで審美性を改善した症例をご紹介します。
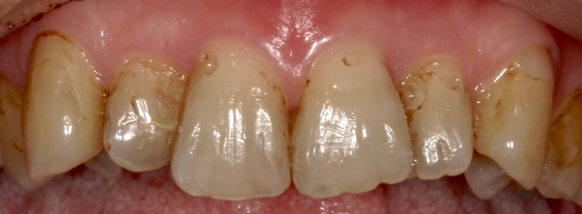
before
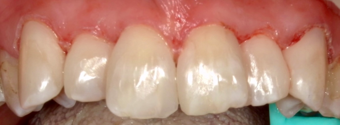
after
- 通院期間
- 2日
- 通院回数
- 1回
- 治療内容
-
静脈内鎮静法(無痛治療):5時間 110,000円
レーザーホワイトニング:38,500円
ダイレクトボンディング 1本55,000円×6 - ダイレクトボンディングのメリット
- 痛みや恐怖心が少ない
嘔吐反射が強い方でも受けやすい
歯を大きく削らない
短期間(1日)で見た目が改善できる - ダイレクトボンディングのデメリット
- 保険治療と比較して費用がやや高額
長い年月の中で多少の変色やすり減りが起こることがある
※料金は掲載時(2026年03月)の金額になり、予告なく変更になる場合があります。
患者様が気になっていたこと
上の前歯の色が気になる、昔入れた詰め物をキレイにしたいとご来院されました。
歯を白くしたいというご希望があり、ホワイトニングにも興味をお持ちでした。
また、嘔吐反射が強く、治療中の不快感や痛みがとても不安とのことでした。できるだけ痛みを感じず、短い期間で治療を終えたいというご希望もありました。
治療についてのご説明
患者様のご不安を考え、眠ったようなリラックスした状態で治療ができる「静脈内鎮静法(無痛治療)」をご提案しました。
静脈内鎮静法は眠っている間にすべての治療を終えることができるため、痛みや不快感は一切感じることがなく、嘔吐反射に関してもご本人は自覚することなく治療を進めることが可能になります。
また、歯の状態からセラミッククラウンやインレーではなく、歯をできるだけ削らずに自然な白さと形を回復できるダイレクトボンディング(白い詰め物による治療)をご提案しました。
歯を白くしたいというご希望がありましたので、ホワイトニングを行った後、白くなった歯の色に合わせてダイレクトボンディングを行うことで、患者様のご希望の白さに近づけることが可能になります。
ダイレクトボンディングは1日で行うことができるため、何度も通院する必要がなく、身体への負担も最小限に抑えることができます。
治療後のご様子
治療後は、前歯の色や形が自然に整い、明るく清潔感のある口元になりました。
患者様からは、「ほとんど記憶がなく、気づいたら終わっていて驚いた」「痛みもなく、前歯を気にせず笑えるようになった」とお喜びのお声を頂きました。
無痛治療でのダイレクトボンディングについて
治療中の「えずき」が心配な方、忙しくて何度も通えない方、痛みが怖くて治療をためらっている方で、前歯の色や詰め物の変色が気になっている方は是非ご相談ください。
ダイレクトボンディングという手法を用いることで、短期間に、キレイな歯を実現することが可能になります。
【監修】歯科医師 小浜 賢史
- 日本大学歯学部卒業
- 根管治療、インプラントなどに特化
カテゴリー
